Realidades.- La organización estima que este año la tuberculosis podría causar entre 200.000 y 400.000 muertes más que en 2019.
La crisis sanitaria derivada de la pandemia del coronavirus dificulta la detección y el tratamiento de la tuberculosis, alertó este miércoles la Organización Mundial de la Salud (OMS), al tiempo que advirtió que los casos de tuberculosis podrían aumentar a menos que se tomen medidas urgentes.
La contención de la propagación del covid-19 es en estos momentos la máxima prioridad sanitaria a nivel mundial, lo que repercute negativamente a las naciones más azotadas por la tuberculosis, señaló la organización mundial en su informe anual sobre la tuberculosis.
Países como la India y Sudáfrica han visto cómo los recursos que generalmente se asignan a la detección y tratamiento de esta enfermedad ahora se desvían a la lucha contra la pandemia del coronavirus.
Según datos de la OMS, en 2019 esta enfermedad se cobró la vida de aproximadamente 1,4 millones de personas, cifra casi idéntica a los 1,5 millones de casos letales registrados en 2018. La reasignación de recursos y de personal médico para combatir el coronavirus podría traducirse en un resurgimiento de la tuberculosis en algunos países.
Se estima que este año esta enfermedad podría causar entre 200.000 y 400.000 muertes más que en 2019, que se saldó con 1,4 millones de casos mortales, recoge AFP.
Reducción de casos notificados
Los datos recopilados de más de 200 países han mostrado reducciones significativas en las notificaciones de casos de tuberculosis. Entre enero y junio de este año, la India, Indonesia y Filipinas han reportado un 25-30 % menos de casos en comparación con el mismo periodo de 2019.
«El acceso equitativo al diagnóstico, la prevención, el tratamiento y la atención de calidad siguen siendo un desafío. Se necesita una acción acelerada en todo el mundo si queremos alcanzar nuestros objetivos para 2022″, señaló el director general de la OMS, Tedros Adhanom Ghebreyesus, en un comunicado sobre las conclusiones del informe.
¿Cómo se contagia?
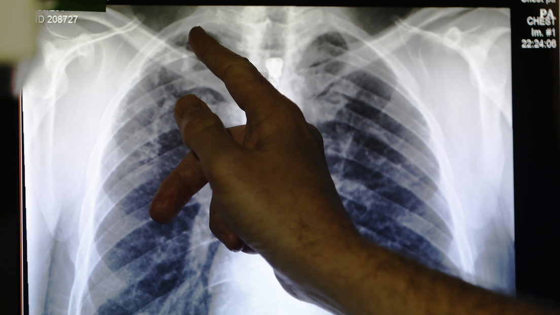
La tuberculosis es una enfermedad que afecta sobre todo a los pulmones. Al igual que el covid-19, se propaga por el aire cuando una persona infectada tose, estornuda o escupe, que es la vía habitual de contagio de la bacteria Mycobacterium tuberculosis.
Pese a tratarse de una enfermedad curable, la tuberculosis mata anualmente a cientos de miles de personas en todo el mundo. Además, es una de las principales causas de muerte entre las personas con VIH.
Fuente: RT

